|
疾病代碼:
|
DIS00166
|
建立日期: |
2009/02/27
|
更新日期: |
2009/05/07
|
作 者:
|
黃羿萍、李建霖
|
中文病名:
|
病毒性神經壞死病
|
英文病名:
|
Viral nevous necrosis,VNN
|
疾病描述:
|
1.病原概述
病原型別:病毒
病原環境:海水
學名:
病名(及俗名):病毒性神經壞死病(viral Nervous Necrosis;VNN),病毒性腦病及視網膜病(Viral encephalopathy and retinopathy;VER)
最早發現者:Bellance及Gellet de Saint Aurin(1988)
OIE狀況:未表列(Not listed)
病原摘要:
無封套,直徑約20nm-35nm,呈二十面體結構,內含有兩條正向單股RNA分子,分子量分別為Mr1.17和0.48。於酸性環境中穩定,而60℃下1小時即失去活性。(莊蕙菁,2005)
人畜共通:No
病原分類
2.病原分類
Nodaviridae科,betanodavirus屬,海水魚神經壞死病毒分離株比對外鞘蛋白質基因序列 ( T4 ),可分成 ( SJ ) NNV、( TP ) NNV、( BF ) NNV、( RG ) NNV四種基因型,用交叉中和反應檢測四種NNV基因型之間的血清類源關係,分成三種血清型:SJNNV為一型,TPNNV為一型,BFNNV和RGNNV 則歸在一型,然而BFNNV的宿主皆為冷水魚,而RGNNV的宿主皆為溫水魚。台灣目前所有的分離株皆屬於RGNNV基因型。(中華民國水產種苗協會,2006)
別名:
命名沿革:1992年日本條紋鰺中發現類VNN病例,命名為條紋鰺神經壞死病毒(striped jack nervous necrosis virus,SJNNV),魚類因病毒感染不同魚種而有不同的疾病名稱,如歐洲養殖鮃魚的腦炎(encephalo-myelitis)、法國海鱸和挪威大西洋比目魚的病毒性腦病及視網膜病變(Viral encephalopathy and retinopathy;VER)及法國海鱸的魚類腦炎(fish encephalotis)。
疾病特性
感染路徑:本病除可藉由種魚垂直感染及病魚水平傳染外,亦可藉由食入帶原病毒之生物餌料及養殖池所使用的網具和桶子而相互感染。(Skliris GP,1998)
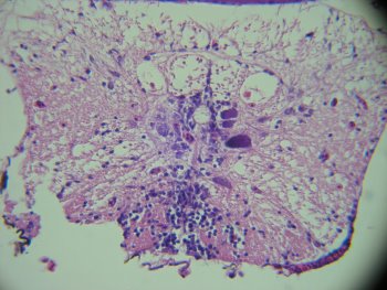
感染組織及器官:中樞神經組織有普遍性壞死的現象,脊髓、脊神經節及腦部、眼睛細胞有明顯空泡化及核濃縮的現象。
疾病型態及流行病學:
海水魚幼苗感染神經壞死病毒最早的紀錄是發生在1986年日本長崎縣 ( Nagasaki ) 日本鸚哥魚繁殖場,遭受感染的魚隻死亡率高達90%以上,死亡魚齡大都為體長6-10mm魚苗及13-25mm稚魚。至今已有3個目,10個科,20餘種海水魚遭受神經壞死病毒的感染。病例分布世界各地,包括歐洲、亞洲、美洲等國家,造成當地養殖業相當大的損失。而在台灣則以石斑魚、海鱺、金目鱸、龍膽石斑為害最深。引起海水養殖魚苗高死亡率,可達100%;水溫越高,病徵出現愈快,死亡率也愈高,疫情於夏季達到高峰。(劉振軒,2002)
器官傳播分佈情形:
以人工感染觀察到最早出現病毒反應是在泳鰾上的脊髓處,再向前移至腦或向後移至脊髓末梢,最後達眼睛視網膜。電顯可於自然感染魚苗上發現其表皮細胞質內有病毒顆存在,推論病毒可能經由表皮的感覺或運動神經末梢進入脊髓而感染。(蔡信雄,2007)
臨床症狀及病理學:
剛孵化和魚苗階段的魚隻共同特徵包括初期食慾降低,病魚明顯體色變深、呈現喪失平衡能力、模式性螺旋或翻圈泳姿或腹部朝上漂浮,最後沉入池底死亡等,1吋左右魚苗大量死亡。成魚感染臨床症狀不明顯或沒有任何症狀。本病內臟無特徵性肉眼病變。
病理組織病變:最典型的特微性病變為於視網膜及腦、脊髓的神經細胞發生壞死與空泡化病變。在空泡化病灶的腦組織及視網膜細胞內可觀察到非常多的嗜鹼性質內包涵體 (inclusion body)。(Tanaka A,1998)
|
診斷方法:
|
一級初步診斷:病魚明顯體色變深,1吋左右魚苗大量死亡。
二級初步診斷:快速免疫診斷試劑呈現神經壞死病毒抗原-陽性反應。
三級初步診斷:特徵性組織病理病變為於視網膜及腦、脊髓的神經細胞發生壞死與空泡化病變。
一級確定診斷:呈現喪失平衡能力、模式性螺旋或翻圈泳姿,腹部朝上漂浮,1吋左右魚苗大量死亡,死亡率可高達100%。
二級確定診斷:反轉錄-聚合酶鏈鎖反應( RT-PCR ):偵測病毒基因片段。細胞培養:利用細胞株(SSN-1)培養病毒,並鑑定之。(陳燕輝,2005)
三級確定診斷:基因鑑定
|
治療方法:
|
由於是病毒性疾病,無有效治療方法。
|
預防控制方法:
|
飼養管理控制
1、篩選無帶病毒種魚及降低種魚於生殖季節所受到的緊迫因子。
2、水質維持穩定並適度供餌,減少緊迫。
3、對動物性生物餌料進行監控及檢測。
4、建議確實執行洗卵及養殖用具、池水消毒,以降低環境中病毒數量。
5、防止鳥獸及野生水生動物,海蟑螂等機械傳播之媒介。
6、病死魚應妥善處理以減少疾病之傳播。
疫苗發展現況:
由於魚隻體型太小,並不適合採注射疫苗,以免引起不必要的緊迫。固以口服或浸泡方式為現在施用疫苗的主流方法。許多學者嘗試以生物技術作為疫苗研發策略,利用食物鏈方式,以餌料生物做為口服疫苗輸送方法,是一較適合水產養殖產業使用疫苗的方法。(Chi SC,2003)
多醣體可以激發非專一性的免疫力,所以將多醣體混入人工餌料中,餵食石斑苗,結果對提升石斑苗抗病毒能力也很有幫助。
有學者研究以選殖之NNV 單源抗體之基因,利用基因工程的方式來大量生產此抗體,可降低抗體的生產成本;當NNV 單源抗體的基因轉殖魚細胞,魚細胞會表現NNV 抗體來抵抗NNV 感染。
|
相關圖片:
|
|
參考文獻:
|
1、中華民國水產種苗協會。病毒性神經壞死症對養殖魚苗的影響與防疫策略;由疾病防除-談優質石斑種苗生產,優質種苗與水產養殖專刊XII。行政院農業委員會漁業署,63-70;83-92,2006。
2、蔡信雄、謝嘉裕、吳宗柄編著。病毒性神經壞死症,石斑魚疾病防治。行政院業委員會動植物防疫檢疫局,1-6,2007。
3、劉振軒、蔡睦宗、鄭謙仁、張本恒、王汎熒、洪信雄、龐飛、黃旭田、徐榮彬。病毒性神經壞死症,動物傳染病附冊,行政院業委員會動植物防疫檢疫局,278-281,2002
4、陳燕輝編譯。魚的野田病毒,魚病理學。合記圖書出社。222-227,2005。
5、莊蕙菁,石斑魚神經壞死症病毒特性及檢測方法之研究。國立成功大學生物科技研究所碩士論文,2005,台南。
6、Chi SC, Shieh JR, Lin SJ. Genetic and antigenic analysis of betanodavirus isolated from aquatic organisms in Taiwan. Dis Aquat Org 55: 221-228, 2003.
7、Skliris GP, Richards RH. Assessment of the susceptibility of the brine shrimp Artemia salina and rotifer Brachionus plicatilis to experimental nodavirus infection. Aquaculture 169: 133-141, 1998.
8、Tanaka A, Aori H, Nakai T. Pathogenecity of tne nodavirus detected from diseased sevenband grouper Epinephelus septemfasciatus. Fish Patholog 33: 31-36, 1998.
|
參考連結:
|
|
檔案下載:
|
|